
Τα αιμαγγειώματα αποτελούν τους συχνότερους καλοήθεις όγκους του ήπατος. Πρόκειται για αγγειακές δυσπλασίες, οι οποίες συνήθως ανευρίσκονται τυχαία κατά τον απεικονιστικό έλεγχο για άλλες παθήσεις. Στη συντριπτική πλειονότητα των περιπτώσεων είναι ασυμπτωματικά και δεν απαιτούν θεραπευτική παρέμβαση, αλλά
μόνο παρακολούθηση. Ωστόσο, σε επιλεγμένους ασθενείς, η χειρουργική αντιμετώπιση μπορεί να είναι αναγκαία.
Ποια τα χαρακτηριστικά τους και σε ποιους εμφανίζονται;
Τα αιμαγγειώματα ήπατος εμφανίζονται συχνότερα σε γυναίκες, με αναλογία περίπου 3:1 σε σχέση με τους άνδρες, γεγονός που υποδηλώνει πιθανή ορμονική επίδραση στην ανάπτυξή τους. Εμφανίζονται μακροσκοπικά ως περιγεγραμμένες αγγειοβριθείς μάζες. Ιστολογικά αποτελούνται από σηραγγώδεις αγγειακούς χώρους, διαχωριζόμενους από λεπτό ενδοθήλιο και ινώδη μεμβράνη ποικίλου πάχους. Το μέγεθός τους ποικίλλει, από λίγα χιλιοστά έως γιγαντιαία αιμαγγειώματα (<5 cm).

Ποια είναι η κλινική εικόνα;
Οι περισσότεροι ασθενείς παραμένουν ασυμπτωματικοί. Όταν υπάρχουν συμπτώματα, αυτά σχετίζονται συνήθως με το μέγεθος του όγκου και περιλαμβάνουν:
• Άλγος ή δυσφορία στο δεξιό υποχόνδριο
• Αίσθημα πληρότητας ή πρώιμο κορεσμό
• Ναυτία ή έμετο (σπανιότερα)
Σπάνιες αλλά σοβαρές επιπλοκές περιλαμβάνουν τη ρήξη του αιμαγγειώματος με ενδοκοιλιακή αιμορραγία και το σύνδρομο Kasabach-Merritt (σχετίζεται με μαγάλα αιμαγγειώματα – θρομβοπενία, κατανάλωση παραγόντων πήξης, πορφύρα).
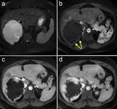
Πως γίνεται η διάγνωση;
Η διάγνωση βασίζεται κυρίως στις απεικονιστικές μεθόδους:
• Υπερηχογράφημα άνω κοιλίας
• Αξονική τομογραφία με σκιαγραφικό
• Μαγνητική τομογραφία, η οποία θεωρείται η πλέον ειδική μέθοδος
Η βιοψία ήπατος αποφεύγεται λόγω του κινδύνου αιμορραγίας και σπανίως είναι απαραίτητη.
Ποιες είναι οι ενδείξεις Χειρουργικής Αντιμετώπισης;
Η χειρουργική θεραπεία δεν αποτελεί θεραπεία ρουτίνας. Ενδείκνυται στις ακόλουθες περιπτώσεις:
• Συμπτωματικά αιμαγγειώματα που επηρεάζουν την ποιότητα ζωής του ασθενή
• Ταχεία αύξηση του μεγέθους
• Αβεβαιότητα στη διάγνωση (υποψία κακοήθειας)
• Επιπλοκές, όπως ρήξη ή σύνδρομο Kasabach-Merritt
Ποιες χειρουργικές τεχνικές και μέθοδοι χρησιμοποιούνται;
Οι βασικές χειρουργικές επιλογές περιλαμβάνουν:
• Εκπυρήνιση (enucleation): Προτιμώμενη μέθοδος, καθώς διατηρεί τον υγιή ηπατικό ιστό.
• Ανατομική ηπατεκτομή: Εφαρμόζεται όταν το αιμαγγείωμα καταλαμβάνει μεγάλο τμήμα ενός λοβού.
• Ελάχιστα επεμβατικές μέθοδοι: Λαπαροσκοπική ή ρομποτική προσέγγιση σε επιλεγμένα περιστατικά.
Ποια είναι η μετεγχειρητική πορεία και η πρόγνωση;
Τα αιμαγγειώματα ήπατος αποτελούν καλοήθεις βλάβες με συνήθως καλοήθη πορεία. Η χειρουργική αντιμετώπιση πρέπει να εξατομικεύεται και να εφαρμόζεται μόνο σε σαφώς καθορισμένες ενδείξεις. Η σωστή επιλογή ασθενών και η εμπειρία της χειρουργικής ομάδας αποτελούν κρίσιμους παράγοντες για το άριστο θεραπευτικό αποτέλεσμα.
Η πρόγνωση μετά από χειρουργική αντιμετώπιση είναι εξαιρετική, με χαμηλά ποσοστά υποτροπής και επιπλοκών, όταν η επέμβαση πραγματοποιείται σε εξειδικευμένα κέντρα από εξειδικευμένο χειρουργό. Η θνητότητα είναι εξαιρετικά χαμηλή και η ποιότητα ζωής των ασθενών βελτιώνεται σημαντικά
Κάθε περίπτωση είναι μοναδική
Κλείστε ένα ραντεβού άμεσα για να σας προτείνουμε τη σωστή, εξατομικευμένη θεραπεία.

